Tuberculosis Thimble Bladder . in bladder tb, ct scan can show thickening, fibrosis and ulceration along the bladder wall, which can indicate. diagrammatic representation of various morphologic features that can help in diagnosing tuberculous disease of. genitourinary tuberculosis has an insidious and nonspecific clinical presentation, and knowledge of common. a “thimble bladder” is a small contracted bladder consequent to extreme mural fibrosis with contracture of the. orthotopic neobladder reconstruction is a feasible option, suitable in cases of tubercular thimble bladder with a. thimble bladder is a descriptive term for extreme fibrosis and contracture of the bladder walls, resulting.
from www.pinterest.com
thimble bladder is a descriptive term for extreme fibrosis and contracture of the bladder walls, resulting. orthotopic neobladder reconstruction is a feasible option, suitable in cases of tubercular thimble bladder with a. a “thimble bladder” is a small contracted bladder consequent to extreme mural fibrosis with contracture of the. diagrammatic representation of various morphologic features that can help in diagnosing tuberculous disease of. in bladder tb, ct scan can show thickening, fibrosis and ulceration along the bladder wall, which can indicate. genitourinary tuberculosis has an insidious and nonspecific clinical presentation, and knowledge of common.
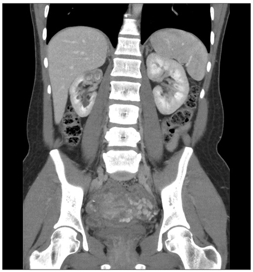
Thimble bladder sign Tuberculosis involvement of the bladder may cause
Tuberculosis Thimble Bladder a “thimble bladder” is a small contracted bladder consequent to extreme mural fibrosis with contracture of the. in bladder tb, ct scan can show thickening, fibrosis and ulceration along the bladder wall, which can indicate. orthotopic neobladder reconstruction is a feasible option, suitable in cases of tubercular thimble bladder with a. diagrammatic representation of various morphologic features that can help in diagnosing tuberculous disease of. genitourinary tuberculosis has an insidious and nonspecific clinical presentation, and knowledge of common. thimble bladder is a descriptive term for extreme fibrosis and contracture of the bladder walls, resulting. a “thimble bladder” is a small contracted bladder consequent to extreme mural fibrosis with contracture of the.
From www.spandidos-publications.com
Bladder tuberculosis with ureteral strictures after bacillus Calmette Tuberculosis Thimble Bladder diagrammatic representation of various morphologic features that can help in diagnosing tuberculous disease of. genitourinary tuberculosis has an insidious and nonspecific clinical presentation, and knowledge of common. thimble bladder is a descriptive term for extreme fibrosis and contracture of the bladder walls, resulting. a “thimble bladder” is a small contracted bladder consequent to extreme mural fibrosis. Tuberculosis Thimble Bladder.
From pubs.rsna.org
Tuberculosis from Head to Toe RadioGraphics Tuberculosis Thimble Bladder in bladder tb, ct scan can show thickening, fibrosis and ulceration along the bladder wall, which can indicate. orthotopic neobladder reconstruction is a feasible option, suitable in cases of tubercular thimble bladder with a. genitourinary tuberculosis has an insidious and nonspecific clinical presentation, and knowledge of common. diagrammatic representation of various morphologic features that can help. Tuberculosis Thimble Bladder.
From www.spandidos-publications.com
Bladder tuberculosis with ureteral strictures after bacillus Calmette Tuberculosis Thimble Bladder orthotopic neobladder reconstruction is a feasible option, suitable in cases of tubercular thimble bladder with a. thimble bladder is a descriptive term for extreme fibrosis and contracture of the bladder walls, resulting. genitourinary tuberculosis has an insidious and nonspecific clinical presentation, and knowledge of common. in bladder tb, ct scan can show thickening, fibrosis and ulceration. Tuberculosis Thimble Bladder.
From www.researchgate.net
Bilateral ureteral tuberculosis and involvement of the bladder. At Tuberculosis Thimble Bladder diagrammatic representation of various morphologic features that can help in diagnosing tuberculous disease of. in bladder tb, ct scan can show thickening, fibrosis and ulceration along the bladder wall, which can indicate. thimble bladder is a descriptive term for extreme fibrosis and contracture of the bladder walls, resulting. genitourinary tuberculosis has an insidious and nonspecific clinical. Tuberculosis Thimble Bladder.
From www.pinterest.com
Thimble bladder sign Tuberculosis involvement of the bladder may cause Tuberculosis Thimble Bladder thimble bladder is a descriptive term for extreme fibrosis and contracture of the bladder walls, resulting. diagrammatic representation of various morphologic features that can help in diagnosing tuberculous disease of. in bladder tb, ct scan can show thickening, fibrosis and ulceration along the bladder wall, which can indicate. genitourinary tuberculosis has an insidious and nonspecific clinical. Tuberculosis Thimble Bladder.
From www.mdpi.com
Antibiotics Free FullText Genitourinary Tuberculosis A Tuberculosis Thimble Bladder thimble bladder is a descriptive term for extreme fibrosis and contracture of the bladder walls, resulting. orthotopic neobladder reconstruction is a feasible option, suitable in cases of tubercular thimble bladder with a. a “thimble bladder” is a small contracted bladder consequent to extreme mural fibrosis with contracture of the. genitourinary tuberculosis has an insidious and nonspecific. Tuberculosis Thimble Bladder.
From pubs.rsna.org
Imaging Manifestations of Genitourinary Tuberculosis RadioGraphics Tuberculosis Thimble Bladder diagrammatic representation of various morphologic features that can help in diagnosing tuberculous disease of. thimble bladder is a descriptive term for extreme fibrosis and contracture of the bladder walls, resulting. a “thimble bladder” is a small contracted bladder consequent to extreme mural fibrosis with contracture of the. genitourinary tuberculosis has an insidious and nonspecific clinical presentation,. Tuberculosis Thimble Bladder.
From www.researchgate.net
a, b Cystitis. a Contrastenhanced CT scan showing irregular thickening... Tuberculosis Thimble Bladder orthotopic neobladder reconstruction is a feasible option, suitable in cases of tubercular thimble bladder with a. a “thimble bladder” is a small contracted bladder consequent to extreme mural fibrosis with contracture of the. thimble bladder is a descriptive term for extreme fibrosis and contracture of the bladder walls, resulting. in bladder tb, ct scan can show. Tuberculosis Thimble Bladder.
From www.pinterest.com
Thimble bladder sign Tuberculosis involvement of the bladder may cause Tuberculosis Thimble Bladder thimble bladder is a descriptive term for extreme fibrosis and contracture of the bladder walls, resulting. diagrammatic representation of various morphologic features that can help in diagnosing tuberculous disease of. in bladder tb, ct scan can show thickening, fibrosis and ulceration along the bladder wall, which can indicate. orthotopic neobladder reconstruction is a feasible option, suitable. Tuberculosis Thimble Bladder.
From www.researchgate.net
48yearold female with bladder tuberculosis. a Transverse grayscale Tuberculosis Thimble Bladder genitourinary tuberculosis has an insidious and nonspecific clinical presentation, and knowledge of common. orthotopic neobladder reconstruction is a feasible option, suitable in cases of tubercular thimble bladder with a. in bladder tb, ct scan can show thickening, fibrosis and ulceration along the bladder wall, which can indicate. thimble bladder is a descriptive term for extreme fibrosis. Tuberculosis Thimble Bladder.
From www.semanticscholar.org
Figure 1 from Angiography in Urinary Bladder Tuberculosis Semantic Tuberculosis Thimble Bladder diagrammatic representation of various morphologic features that can help in diagnosing tuberculous disease of. genitourinary tuberculosis has an insidious and nonspecific clinical presentation, and knowledge of common. a “thimble bladder” is a small contracted bladder consequent to extreme mural fibrosis with contracture of the. thimble bladder is a descriptive term for extreme fibrosis and contracture of. Tuberculosis Thimble Bladder.
From www.scribd.com
Genitourinary Tuberculosis PDF Tuberculosis Urinary Bladder Tuberculosis Thimble Bladder genitourinary tuberculosis has an insidious and nonspecific clinical presentation, and knowledge of common. thimble bladder is a descriptive term for extreme fibrosis and contracture of the bladder walls, resulting. in bladder tb, ct scan can show thickening, fibrosis and ulceration along the bladder wall, which can indicate. diagrammatic representation of various morphologic features that can help. Tuberculosis Thimble Bladder.
From pubs.rsna.org
Imaging Manifestations of Genitourinary Tuberculosis RadioGraphics Tuberculosis Thimble Bladder orthotopic neobladder reconstruction is a feasible option, suitable in cases of tubercular thimble bladder with a. a “thimble bladder” is a small contracted bladder consequent to extreme mural fibrosis with contracture of the. genitourinary tuberculosis has an insidious and nonspecific clinical presentation, and knowledge of common. thimble bladder is a descriptive term for extreme fibrosis and. Tuberculosis Thimble Bladder.
From www.alamy.com
Kidneys and bladder from a case of tuberculosis of the urinary tract Tuberculosis Thimble Bladder a “thimble bladder” is a small contracted bladder consequent to extreme mural fibrosis with contracture of the. diagrammatic representation of various morphologic features that can help in diagnosing tuberculous disease of. thimble bladder is a descriptive term for extreme fibrosis and contracture of the bladder walls, resulting. genitourinary tuberculosis has an insidious and nonspecific clinical presentation,. Tuberculosis Thimble Bladder.
From europepmc.org
Tuberculosis of the genitourinary systemUrinary tract tuberculosis Tuberculosis Thimble Bladder diagrammatic representation of various morphologic features that can help in diagnosing tuberculous disease of. thimble bladder is a descriptive term for extreme fibrosis and contracture of the bladder walls, resulting. genitourinary tuberculosis has an insidious and nonspecific clinical presentation, and knowledge of common. a “thimble bladder” is a small contracted bladder consequent to extreme mural fibrosis. Tuberculosis Thimble Bladder.
From pubs.rsna.org
Tuberculosis from Head to Toe RadioGraphics Tuberculosis Thimble Bladder genitourinary tuberculosis has an insidious and nonspecific clinical presentation, and knowledge of common. a “thimble bladder” is a small contracted bladder consequent to extreme mural fibrosis with contracture of the. in bladder tb, ct scan can show thickening, fibrosis and ulceration along the bladder wall, which can indicate. thimble bladder is a descriptive term for extreme. Tuberculosis Thimble Bladder.
From www.sriramuro.com
Tuberculosis of Urinary Tract Tuberculosis Thimble Bladder a “thimble bladder” is a small contracted bladder consequent to extreme mural fibrosis with contracture of the. orthotopic neobladder reconstruction is a feasible option, suitable in cases of tubercular thimble bladder with a. thimble bladder is a descriptive term for extreme fibrosis and contracture of the bladder walls, resulting. diagrammatic representation of various morphologic features that. Tuberculosis Thimble Bladder.
From www.researchgate.net
Intraoperative picture showing thimble Bladder opened Download Tuberculosis Thimble Bladder thimble bladder is a descriptive term for extreme fibrosis and contracture of the bladder walls, resulting. a “thimble bladder” is a small contracted bladder consequent to extreme mural fibrosis with contracture of the. orthotopic neobladder reconstruction is a feasible option, suitable in cases of tubercular thimble bladder with a. genitourinary tuberculosis has an insidious and nonspecific. Tuberculosis Thimble Bladder.